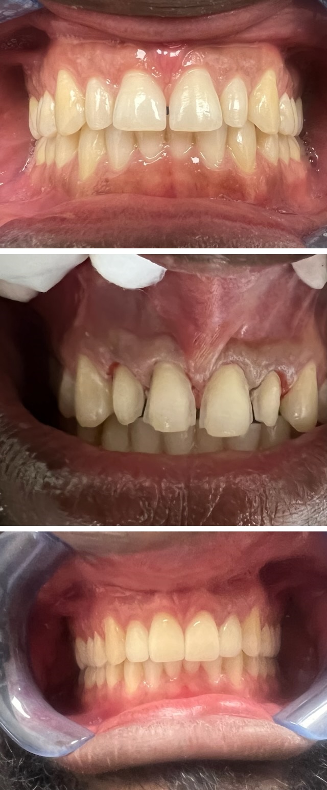
Dental Veneers

Dental veneers are thin custom made shells that cover the front surface of your tooth to improve their appearance. They are made of tooth colored materials and can be used to improve the color of teeth that have been worn down or stained. Alternatively, they can be used to improve the shape or size of the tooth.
Types of veneers
There are two types of veneers that are commonly used. Porcelain veneers are more durable, and resist stains better. The properties of the material also helps to create a very natural tooth look. Unlike porcelain veneers, composite resin veneers are not made in a laboratory, but instead directly applied to the teeth. They typically have a shorter life span, and are less expensive.
When should you consider dental veneers?
You talk to you dentist about dental veneers if
- Your teeth are stained or discolored teeth
- Your teeth are crooked or misshaped teeth
- Your teeth have spaces between them
- Your teeth are broken or chipped
How its done
Two visits to your dentist are typically required for porcelain veneers. At the first visit, three important steps are completed. Firstly, the your teeth is prepared to be fitted with a veneer, which will involve trimming a portion of the tooth so the veneer can be bonded on top. Secondly, an impression is taken of your tooth which will be sent to a laboratory to prepare the veneer. Finally, you may receive a temporary veneer depending on how much of your tooth structure was removed. This temporary veneer will protect your tooth while the permanent veneer is prepared at the laboratory.
At the second visit, the temporary veneer, if you received one, will be removed. Then, the new veneer received from the laboratory will be checked to see if it fits well. It's best not to adjust porcelain veneers after they are bonded to your teeth, so any adjustments will be made beforehand. Once you and the dentist are satisfied with the look and feel of the veneer, it will be bonded to your tooth.




