Cambridge Cosmetic Dentistry and Smile Transformations
Your smile has a big impact on how you look and feel. Alegria Dental Group continually helps patients transform their image and their lives by transforming their smile. The gallery below gives you an overview the type of smile transformations we can create. Please contact us if you have questions about any of the procedures you see below, or if you are interested in learning more about how we can help create a great smile for you.
Click photos below to enhance!
Dental Implants
|
This patient presented after having been hit by a car while on her bicycle. Her front 4 of her incisor teeth were damaged, with the central incisor fractured below the gumline, and intruded almost into her sinus.
|
Her left lateral incisor, although not fractured, was pushed out of alignment, and required root canal treatment.
|
|
All 3 incisors were extracted, and implant bodies were placed.
|
After 4 months, the implants were uncovered, and the tissue allowed to heal before taking impressions.
|
|
Implant bridge was placed to store lost teeth, and a crown was placed on the left lateral incisor. Patient left very happy with esthetics, and explained, "They look better than my original teeth!" |
Full Dentures/Partial Dentures
|
This patient presented after years of neglect, very unhappy with the condition of his mouth. He never smiled. He had lost considerable spacing in his mouth due to the fact that he did not have any back teeth. We recommended a Full Upper Denture, and a Lower Partial Denture.
|
He left very happy with the results. And, now, CAN'T STOP SMILING!
|
Porcelain Bridge
|
This patient presented with a significant gingival recession at the margins of his oild porcelain fused to metal bridge. He also had some chipped porcelain at the incisal edge of tooth #9.
|
We removed the old bridge, and prepared the teeth to the level of the recession. We then replaced it with a full porcelain brdige. The patient was very happy with the results, and asked that we take a picture to send his wife!
|
Porcelain Veneers
|
This patient presented was unhappy with the gaps between his teeth, the wideness at the central incisal edges, as well as "peg" lateral incisors.
|
We prepared the teeth for Porcelain Veneers. The spaces between the teeth and the peg shape of the laterals are much more prevalent after the preparation.
|
|
Cementation fo Veneers. All spaces are closed, wide central incisors edges tapered, and peg laterals transformed to a more natural shaping. Patient left very happy with resulting esthetics! |
Porcelain Jacket Crowns
|
Patient presented very unhappy with the large white fillings that were breaking down.
|
Patient was restored with full coverage Porcelain Jacket Crowns and left very happy with esthetics. "Thank you, Doctor! This was money very well spent." |
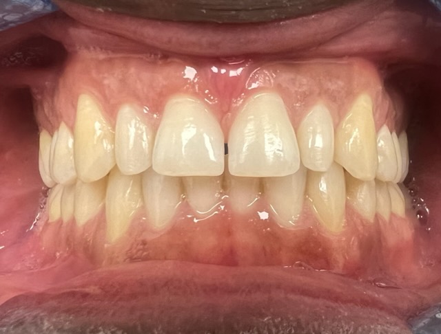
Comprehensive Invisalign Treatment
|
Patient presented unhappy with the "open gaps in my teeth," and was recommended to begin Comprehensive Invisalign Treatment.
|
Photos presented show the front view of the patient's "open gaps."
|
|
After six months of treatment, these are the results. |
She gave us permission to post her photo in full smile! |
























